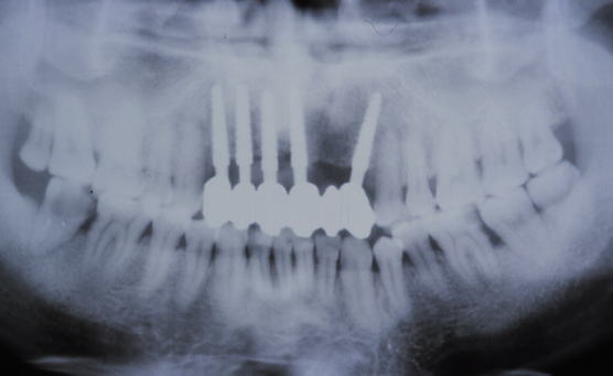
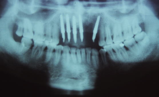
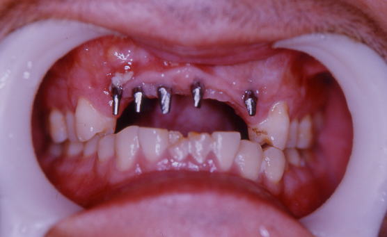
症例101















どうもありがとうございました。