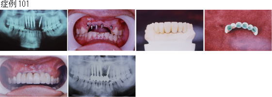
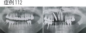
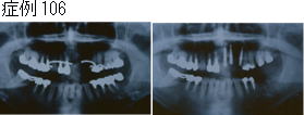
前歯部への応用症例

症例写真を詳しく見たい場合はその症例をクリックして下さい。
全症例の拡大写真を一気に見たい場合はこちらをクリックしてください。




 

 

    

          

     




どうもありがとうございました。